Case record of “SMILE PLAN”当院のインプラント症例実績
噛むと痛い、歯茎から血が出る
口腔内写真
Before
After
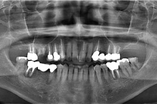
レントゲン写真
レントゲンを撮影すると右下の奥歯の歯根が割れてしまっており、保存不可能な状態でした。
治療をしていくにあたり以前に入れていたのと同じブリッジにする選択肢もありますが、範囲が大きくなってしまうため支える歯に負担がさらにかかってしまい、また同じように歯根破折を起こして抜歯になる可能性があります。
入れ歯という選択肢もありますが隣在歯に金具が掛かるのと、取り外しタイプなのでかたいものや粘着性のものが噛みづらくなってしまいます。
そこで他の歯に負担をかけずに治すことが出来るインプラント治療を選択されました。
Before
After
口腔内写真(治療後)
右下の奥歯2本にインプラントが入った状態です。自分の歯と同じように噛めると非常に満足して頂きました。
歯根破折や歯、被せ物が欠けてしまう原因の一つに、夜寝ている間にほとんどの人がしている歯軋りが挙げられます。
当院ではインプラント患者様にはナイトガードを使用していただいております。
担当医
有田 昌慎
| 主訴 | 噛むと痛い。 歯茎から血が出る。 |
|---|---|
| 治療期間 | 約半年 |
| 治療費 | 約800,000円 |
| 治療内容 | 噛むと痛い、歯茎から血が出るとのことで来院されました。 レントゲンを撮ると右下の歯が歯根破折しており保存不可能なため抜歯をしました。 ブリッジや入れ歯を入れると残っている歯に負担がかかるためインプラント治療をしていくことになりました。 何を噛んでも痛くないと満足していただきました。 |
| リスク 副作用 |
噛み合わせがきつい方はナイトガードをしておかないと被せ物がかける恐れがあります。 |
- 梅田エリア
- なんばエリア
- 茨木エリア
- 高槻エリア
- 西宮エリア
-
クリニック紹介
06-6347-1888 ▶︎ インプラント無料カウンセリングドクター紹介
-
院長 景山 祐杜
スマイルプラン歯科クリニックOSAKAの院長の景山祐杜です。
歯科に来院される患者様のお口の悩みは痛みや不快感、審美障害など多岐に渡ります。
私たちはその悩みを改善できるよう最新の医療設備や高い治療技術、患者様に寄り添った親しみやすいサービスを惜しみなく提供致します。
お口の悩みや不安を抱える患者様は是非お気軽に当院まで足を運んでください。 皆様のご来院を心よりお待ちしております。経歴
九州大学歯学部 卒業 スマイルプラン歯科クリニック
OSAKA 院長
院内設備紹介
-
-
クリニック紹介
06-6633-2828 ▶︎ インプラント無料カウンセリングドクター紹介
-
院長 西野 毅至
患者様のお悩みに寄り添うことができる歯科医師でありたいと思っております。
常に最新の知識や技術を身につけることで、患者様にできるだけ多くの選択肢を提供できるように努力していきたいと思っております。経歴
九州歯科大学歯学部 卒業 ホワイトベア歯科クリニックなんば 院長
院内設備紹介
-
-
クリニック紹介
072-625-8222 ▶︎ インプラント無料カウンセリングドクター紹介
-
理事長・院長 山本 恒一
私たちスマイルプラン歯科グループのコンセプトは「すべてにおいて上質な歯科医院であること。」です。
質の高いおもてなしと医療サービス、最高レベルの治療技術を患者様に提供できる歯科医院であるために日々研鑽しています。経歴
1999年 大阪大学歯学部卒業 2004年 スマイルプランやまもと歯科クリニック開院 -
副院長 高倉 駿
経歴
昭和大学歯学部卒業 スマイルプランやまもと歯科クリニック勤務
院内設備紹介
クリニック紹介
072-637-1755 ▶︎ インプラント無料カウンセリングドクター紹介
-
院長 有田 昌慎
当院では医院の内装や患者様への対応・コミュニケーション、歯科医師の技術という3点に特に力を入れて患者様の診療を受け入れるようにしています。
私達は患者様からお口の健康を任せていただけるように、頼りがいのある歯科医院を目指しています。経歴
九州歯科大学歯学部卒業 スマイルプランさくら歯科クリニック 院長 -
井上 倭総
経歴
岡山大学歯学部卒業 スマイルプランオーク歯科クリニック勤務
院内設備紹介
-
-
クリニック紹介
072-686-2200 ▶︎ インプラント無料カウンセリングドクター紹介
-
院長 有田 昌慎
当院では医院の内装や患者様への対応・コミュニケーション、歯科医師の技術という3点に特に力を入れて患者様の診療を受け入れるようにしています。
私達は患者様からお口の健康を任せていただけるように、頼りがいのある歯科医院を目指しています。経歴
九州歯科大学歯学部 卒業 スマイルプランさくら歯科クリニック 院長
院内設備紹介
-
-
クリニック紹介
0798-34-5566 ▶︎ インプラント無料カウンセリングドクター紹介
-
院長 野口 陽平
経歴
岡山大学歯学部卒業 スマイルプラン歯科クリニック西宮勤務 研修実績
DIO naviインプラント実践コース アストラテックインプラントシステムEVイントロダクトリーコース テルナ・ジャパン ヒアルロン酸注入、ボトックス治療セミナー ClubGP Basic Program -
副院長 秋山 咲季
同じ目線で患者様にとって必要で最適な治療は何なのかをしっかりと把握し、丁寧な治療をご提供いたします。
気になることがあれば些細なことでもご相談ください。経歴
岡山大学歯学部卒業 スマイルプラン歯科クリニック西宮 副院長
院内設備紹介
-
※WEB予約が埋まっていても当日受診可能な場合がありますのでお電話ください。





